نوشته و ویرایش شده توسط مجله به رنگ صبح دانشمندان در مطالعه جدیدی نشان دادهاند که تحریک الکتریکی ضعیف شبکههای…
مغز انسان نور ساطع میکند_به رنگ صبح
نوشته و ویرایش شده توسط مجله به رنگ صبح دانشمندان دریافتند مغز انسان به معنی واقعی کلمه نور ساطع میکند.…
آیا منفعت گیری از ChatGPT مغز را تنبل میکند؟ مطالعه تازه جواب میدهد_به رنگ صبح
نوشته و ویرایش شده توسط مجله به رنگ صبح مطابق پژوهش تازه، مغز افراد زمان نوشتن یک مقاله با پشتیبانی…
رگهای چشم احتمالا بتواند به تشخیص زودهنگام زوال عقل پشتیبانی کند_به رنگ صبح
نوشته و ویرایش شده توسط مجله به رنگ صبح مطالعهای تازه مشخص می کند که بازدید رگهای خونی پشت چشم…
مدیتیشن میتواند مغز را جوان نگه دارد_به رنگ صبح
نوشته و ویرایش شده توسط مجله به رنگ صبح مطابق پژوهش دانشمندان، مدیتیشن میتواند بهطور قابلتوجهی روال پیری را کُند…
سگ ها جهان را با بینی خود فهمیدن میکنند_به رنگ صبح
نوشته و ویرایش شده توسط مجله به رنگ صبح برای ما انسانها، دیدن مهمترین راه شناخت جهان اطراف است، اما…
مرغ عشق با ساختار مغزی خاص، قادر به تشکیل صداهای انسانی است_به رنگ صبح
نوشته و ویرایش شده توسط مجله به رنگ صبح توانایی طوطیها برای پیروی گفتار انسان مدام دقت تعداد بسیاری را…
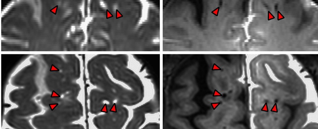
دانشمندان برای اولینبار سیستم دفع ضایعات مغز انسان را به عکس کشیدند_به رنگ صبح
نوشته و ویرایش شده توسط مجله به رنگ صبح کارکرد درونی سیستم دفع ضایعات مغز ما سرانجام بعد از سالها…
آلودگی هوا میتواند بر ساختار مغز کودکان تاثییر منفی بگذارد_به رنگ صبح
نوشته و ویرایش شده توسط مجله به رنگ صبح محققان در یک مطالعه تازه به بازدید سیستماتیک ۴۰ پژوهش گوناگون…
بخشی از مغز افراد مبتلا به افسردگی زیاد بزرگتر از دیگران است_به رنگ صبح
نوشته و ویرایش شده توسط مجله به رنگ صبح گرچه علائمی وجود دارد که میتوان با آنها افسردگی را شناسایی…









